
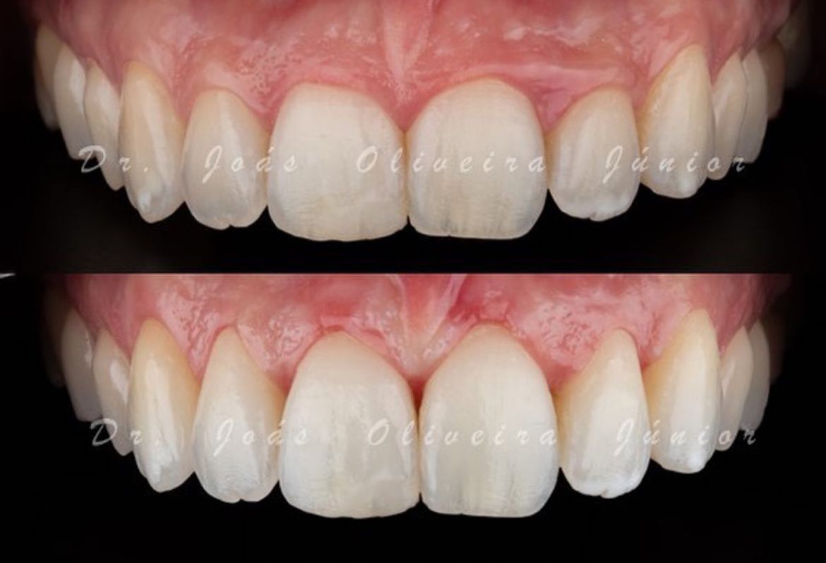
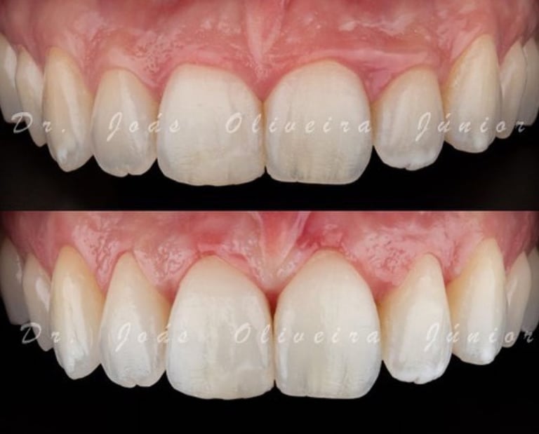
Gengivoplastia
A gengivoplastia é um tratamento definitivo para corrigir o excesso ou irregularidade da gengiva, melhorando a harmonia do sorriso.
Em nossa clínica, realizamos o procedimento com tecnologia a laser, que garante maior precisão, melhor cauterização e uma recuperação mais confortável.Quando necessário, além da remodelação gengival, também realizamos o reparo ósseo, proporcionando resultados mais duradouros e estéticos.








